Zytomegalie in der Schwangerschaft: Diagnostisches Vorgehen. Möchte die Schwangere wissen, ob sie bereits früher eine CMV-Infektion durchgemacht hat und somit vor einer Erstinfektion geschützt ist, werden Antikörpern gegen CMV im Blut bestimmt. Diese Untersuchung ist nicht in der Mutterschaftsvorsorge enthalten, somit keine Kassenleistung.. Im Falle einer (vermuteten) CMV-Infektion in der Schwangerschaft muss eine weitere Abklärung durch einen Spezialisten für feto-maternale Medizin erfolgen. Ein generelles Beschäftigungsverbot für Schwangere aus Risikopopulationen istnicht empfohlen und nur indiziert, wenn die erforderlichen Hygienemassnahmen aus betrieblichen Gründen nicht.

Primary cytomegalovirus infection with invasive disease in a patient with inflammatory bowel

CMVInfektion Wann ist eine Zytomegalie gefährlich? YouTube

Cytomegalovirus (CMV) Infektion Ursachen, Symptome und Behandlung MedDe

Screening for seemingly healthy newborns with congenital cytomegalovirus infection by

Fuchs oder Hundebandwurm? Unterschied im Ultraschall erkennbar • doctorstoday
Echokardiographie Normalbefund Beispiel
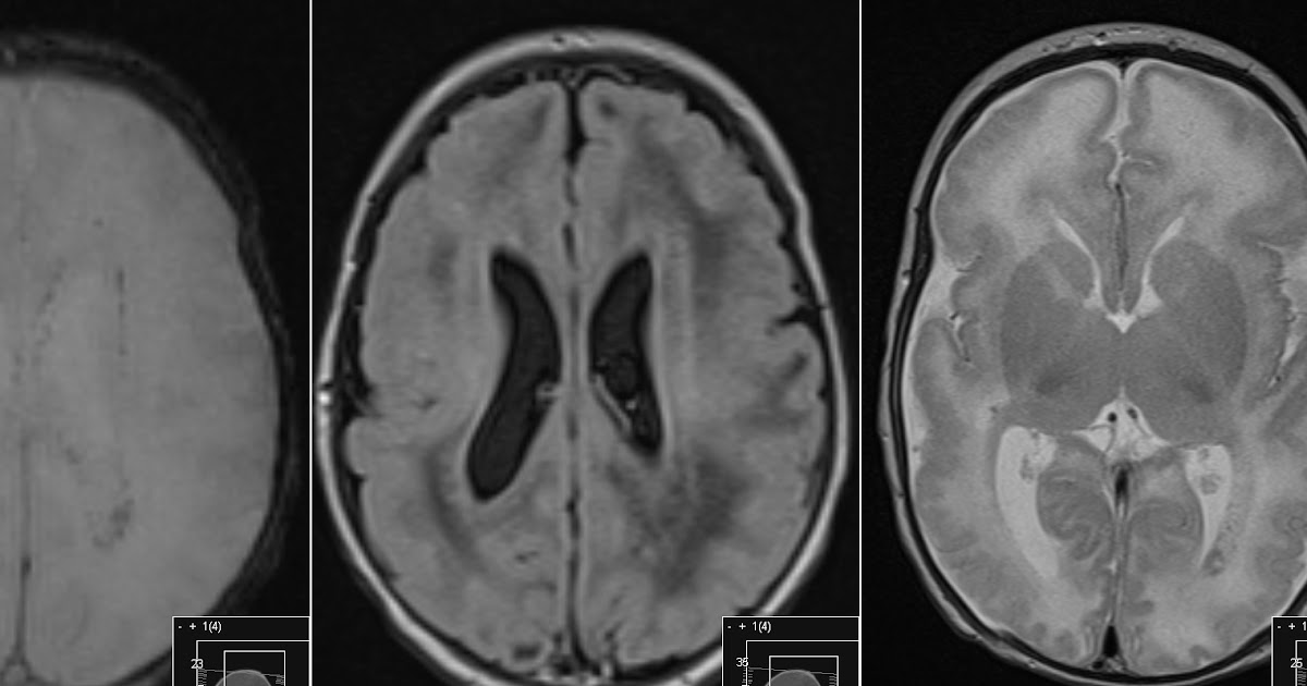
Neuroradiology On the Net Congenital Cytomegalovirus infection

Radiology MRI Congenital Cytomegalovirus Infection

CMVInfektion Facharztwissen

CMVInfektion in der Schwangerschaft YouTube
FileFundus photographCMV retinitis EDA07.JPG Wikimedia Commons

Zytomegalie (CMVInfektion) in der Schwangerschaft • Labor Enders

Pediatric Cytomegalovirus Encephalitis Pediatric Radiology Reference Article Pediatric
Ultrasound detection of congenital CMV infection National CMV Foundation

Diffuse periventricular calcification and brain atrophy A case of neonatal central nervous

Image Congenital Cytomegalovirus Infection MSD Manual Professional Edition

CMVInfektion Ansteckung Merkmale Diagnose Therapie

🌿 Cytomegalovirus (CMV) ในทารก

Down Syndrom Im Ultraschall Erkennbar Captions Quotes

Down Syndrom Ultraschall Erkennbar Quotes Viral
Die perinatale CMV-Infektion wird durch den Kontakt mit infiziertem Zervikalsekret, Muttermilch oder Blutprodukten erworben. Mütterliche Antikörper schützen wahrscheinlich. Die meisten betroffenen reifen Neugeborenen sind asymptomatisch und nicht infiziert. Im Gegensatz dazu entwickeln Frühgeborene Frühgeborene Ein Säugling, der vor der 37. . Schwangerschaftswoche geboren wurde, gilt als Fr. Zytomegalie in der Schwangerschaft. Eine Zytomegalie (auch Cytomegalie oder CMV-Infektion) im Erwachsenenalter ist relativ häufig und hat einen harmlosen Verlauf. Die einzigen Symptome sind eine leicht erhöhte Temperatur, seltener, geschwollene Lymphknoten. Ungefähr die Hälfte aller Schwangeren hat schon einmal eine Zytomegalie durchgemacht.